インプラント専門医:「フローラル インプラント」

はじめてのインプラント フローラル インプラントセンター




症例 12)
60代 男性 下顎左右の奥歯に5本のインプラントを埋入し、上下顎全歯牙をメタルボンドセラミッククラウン(白い歯)にて審美修復を実施。

 
 

正面
右側
左側
 
 
右上一番後ろの大臼歯と右下の犬歯、左下の小臼歯は歯周病の進行が強いため抜歯をすることにしました。
レントゲン写真よりトレースされた図面、いわば歯科医の設計図です。これをもとにインプラント体の埋入本数や位置、サイズを決めていきます。

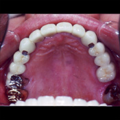
審美的な最終構造物メタルボンドセラミッククラウン(白い歯)を全歯牙に装着した写真です。
人工歯の色あいは、ご年配の方であることを考慮し加工してあります。
 
 
 

インプラント、人工歯根、上部構造を口の中に装着した時のレントゲン写真です。
最終のチェックで細かい噛みあわせなどの調整を行います。
患者様も大変協力的でインプラント歯を用いた治療も安心して受けていただくことができました。ご協力ありがとうございます。

症例提供:ナカノ歯科室・矯正 中野浩嗣先生 
     無断転写はお断りします。
インプラントHOME | インプラント基礎知識 | インプラント受診にあたり | インプラントの症例 | インプラントと歯周病
インプラント専門医院のメリット | インプラント定期検診について | X線・インプラントCT | インプラントの費用
インプラント学会活動 | インプラントQ&A | フローラルスタディグループについて