インプラント専門医:「フローラル インプラント」

はじめてのインプラント フローラル インプラントセンター




症例 9)
40代 女性
右上の小臼歯と大臼歯に4本、下の左右の奥歯に5本のオスセェオインプラントの埋入。右上顎については、サイナスリフト(骨造骨術)を行っています。


 
 
 
 
 
 
 

模型、レントゲン写真による術前の診査・診断

 
 
右上、重度歯周病にて抜歯後、上顎骨の吸収が強く、さらに詳しく調べるためにCT検査を行いました。

左下奥に3本のインプラントを埋入。
右下奥に2本のインプラントを埋入後、右上上顎に対してサイナスリフトを行い、インプラント埋入が可能となるように準備をしました。
TCPを用いたサイナスリフト
歯周病で弱っていた右上の小臼歯を抜歯し、少ない歯槽骨上部をソケットリフトというテクニックを用いて骨造骨を行い9本目のインプラント埋入を行うことになりました。
右上小臼歯に9本目のインプラントを埋入後のレントゲン写真。この後、3ヶ月〜6ヶ月骨が固まるのを待ちます。この期間は、月に1回程度来院していただき、経過をみます。

  インプラントの上部構造(セラミッククラウン)の作製。患者さんの歯の模型を精密に復元し、その上で人工歯を患者様の機能に合わせて忠実に再現してゆきます。時間と労力と技術が必要とされるところです。これらのこともふまえた上で患者さんの理解と協力は必要不可欠といえる訳です。
 
 
上部構造体(セラミッククラウン)は、セメンティングで直接インプラントとくっつけるタイプと、この様に小さなネジでとめるタイプがあります。複数歯の人工歯をつくる場合、この様に連結したほうがインプラント体に加わる力を分散でき強度的にも優れています。
 

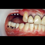
装着前の口腔内の様子
 

左右下の奥歯に上部構造(セラミッククラウン)を装着した写真です。
 
 
 
 

症例提供:ナカノ歯科室・矯正 中野浩嗣先生 無断転写はお断りします。
インプラントHOME | インプラント基礎知識 | インプラント受診にあたり | インプラントの症例 | インプラントと歯周病
インプラント専門医院のメリット | インプラント定期検診について | X線・インプラントCT | インプラントの費用
インプラント学会活動 | インプラントQ&A | フローラルスタディグループについて